First edition of KICR highlights real-world lessons in kidney care
From unusual presentations and diagnostic dilemmas to novel treatment approaches, the first in press case reports featured in Kidney International Case Reports™ (KICR) highlight clinically relevant lessons from real-world kidney care across diverse global settings.
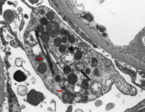
Among the early reports are cases that underline how rapidly evolving therapies are reshaping practice. Al Haddad et al. describe the successful use of ciltacabtagene autoleucel in dialysis-dependent monoclonal gammopathy of renal significance (MGRS), reporting complete hematologic remission at six months in what the authors describe as the first such case.
Kidney biopsy establishing the diagnosis of light chain crystalline podocytopathy, a rare form of MGRS
The first edition also highlights the importance of medication-focused clinical reasoning, illustrated by a case of suspected pheochromocytoma that was ultimately traced to abrupt tizanidine withdrawal, causing hypertensive emergency with acute kidney injury.
Cheung demonstrates how point-of-care ultrasound helped diagnose a late peritoneal dialysis catheter breakage that was not evident on physical examination. Ultrasound of the catheter tunnel and subcutaneous segment revealed a focal disruption in catheter continuity, allowing a definitive diagnosis and guiding management.

Operative findings and catheter salvage procedure as reported in “Ultrasonographic detection and management of peritoneal dialysis catheter breakage in peritoneal dialysis”
Other papers in the first edition emphasize the value of careful diagnosis, including a case showing how chronic thrombocytopenia and recurrent preeclampsia led to the diagnosis of antiphospholipid syndrome that had remained undetected for 13 years.
Together, these reports begin to build a practical library of shared clinical experience, helping clinicians refine diagnostic reasoning and support better patient outcomes.
Do you have a clinically relevant case that could help inform practice? Submit it to KICR. All authors receive a 100% article processing charge waiver until December 31, 2026.
Further reading:
Five compelling reasons to submit to Kidney International Case Reports™

